Budidaya Hewan Ternak

Vitamin B12 Deficiency Spinal Cord Mri

Day 180 Know Your Spinal Cord Lichtheim S Disease Lunatic Laboratories
loonylabs.org

Https Www Japi Org S2d4a454 Inverted V Sign In Vitamin B12 Deficiency Myelopathy

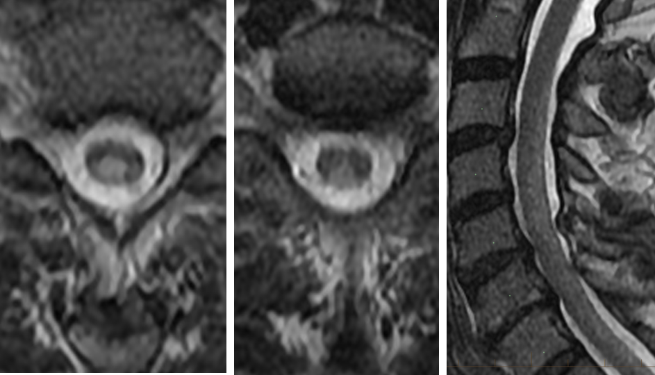
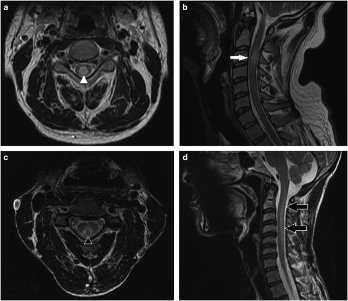
Sub Acute Combined Degeneration Mri Radiology Imaging
radiology-information.blogspot.com

Https Www Orpha Net Data Patho Pro En Acutetransversemyelitis Frenpro16890v01 Pdf

If Vitamin B12 Deficiency Mimics Multiple Sclerosis How Do You Tell The Difference Vitamin B12 Patch Vitamin B12 Patch
www.b12patch.com

Neurologic Manifestations Of Vitamin B12 Deficiency Nejm
www.nejm.org

Lessons Of The Month Nitrous Oxide Induced Functional Vitamin B12 Deficiency Causing Subacute Combined Degeneration Of The Spinal Cord Rcp Journals
www.rcpjournals.org

Subacute Combined Degeneration Of Spinal Cord Never Forget This Reversible Myelopathy Gupta P Gupta G Neurol India
www.neurologyindia.com

Day 180 Know Your Spinal Cord Lichtheim S Disease Lunatic Laboratories
loonylabs.org

Https Ispub Com Ijra 10 1 11253

Subacute Combined Degeneration Of The Spinal Cord After Nitrous Oxide Anaesthesia Role Of Magnetic Resonance Imaging Journal Of Neurology Neurosurgery Psychiatry
jnnp.bmj.com

Subacute Combined Degeneration Of The Spinal Cord Due To Vitamin B12 Deficiency Bmj Case Reports
casereports.bmj.com

Cns Radiologic Images
ar.utmb.edu

Subacute Combined Degeneration Of The Spinal Cord Due To Different Etiologies And Improvement Of Mri Findings
www.hindawi.com

Pdf Mri Appearances In Subacute Combined Degeneration Of The Spinal Cord Due To Vitamin B12 Deficiency
www.researchgate.net

Cervical Spinal Cord Mri In A 49 Year Old Male Presenting With Subacute Download Scientific Diagram
www.researchgate.net

Subacute Combined Degeneration Of The Spinal Cord Due To Vitamin B12 Deficiency Bmj Case Reports
casereports.bmj.com

Vitamin B12 Deficiency Wikipedia
en.wikipedia.org

Sensory Ataxia
www.slideshare.net

Subacute Combined Degeneration Of The Dorsal Columns In A Patient With Nitrous Oxide Induced B12 Inactivation A Case Report Insight Medical Publishing
www.jneuro.com

Vitamin B12 Deficiency Myelopathy In A 30 Year Old Woman Wheelchair Bound Owing To An 18 Month History Of Progressive Myelopathy B12 Level 60 Pg Ml Ppt Download
slideplayer.com

Subacute Combined Degeneration Stepwards
www.stepwards.com

Challenges In Diagnosing Spinal Cord Disease Chapter 9 Common Pitfalls In Multiple Sclerosis And Cns Demyelinating Diseases
www.cambridge.org

Mri Of A Patient Presenting With Subacute Combined Degeneration Download Scientific Diagram
www.researchgate.net

Subacute Combined Degeneration Of The Spinal Cord Due To Different Etiologies And Improvement Of Mri Findings
www.hindawi.com

Cervical Spondylotic Myelopathy With Vitamin B12 Deficiency Two Case Reports
www.spandidos-publications.com

Dr Balaji Anvekar Frcr Vit B12 Deficiency Mri Brain Findings
www.neuroradiologycases.com

Nitrous Oxide Induced B12 Deficiency Myelopathy Perspectives On The Clinical Biochemistry Of Vitamin B12 Journal Of The Neurological Sciences
www.jns-journal.com

Degeneration Of The Cord Related To B12 Deficiency Eurorad
www.eurorad.org

Nitrous Oxide Induced Subacute Combined Degeneration
www.casereports.in

Figure 10 2 From Nutrients And Neurology Semantic Scholar
www.semanticscholar.org

Teaching Neuroimages Myelopathy Due To B12 Deficiency In Long Term Colchicine Treatment And Nitrous Oxide Misuse Neurology
n.neurology.org

Diagnosis Of Spondylosis With Cervical Myelopathy
www.spine-health.com

2
lh3.googleusercontent.com

Subacute Combined Degeneration Of Spinal Cord Wikipedia
en.wikipedia.org

Clinics In Diagnostic Imaging 190 Smj
www.smj.org.sg

The Radiology Assistant Myelopathy
radiologyassistant.nl

Cns Radiologic Images
ar.utmb.edu

Subacute Combined Degeneration Of The Spinal Cord Important Points Dr Armin Anwar Youtube
www.youtube.com

Http N Neurology Org Content 63 3 592 Full Pdf

Cervical Spondylotic Myelopathy With Vitamin B12 Deficiency Two Case Reports
www.spandidos-publications.com

Spinal Mri Precedes Clinical Improvement In Subacute Combined Degeneration With B12 Deficiency Neurology
n.neurology.org

Brain Miliary Enhancement Springerlink
link.springer.com

A Woman With Bilateral Maculopathy And Acquired Vitamin B12 Deficiency Eye
www.nature.com

Vitamin B12 And Nerves Dr Schweikart
www.b12-vitamin.com

Subacute Combined Degeneration Of The Cord Radiology Reference Article Radiopaedia Org
radiopaedia.org

Http Apjcn Nhri Org Tw Server Apjcn 25 1 34 Pdf

Transverse Myelitis Associate Diseases The Johns Hopkins Transverse Myelitis Center
www.hopkinsmedicine.org

Anchor Shaped Bright Posterior Column In A Patient With Vitamin B12 Deficiency Myelopathy Postgraduate Medical Journal
pmj.bmj.com

Https Encrypted Tbn0 Gstatic Com Images Q Tbn 3aand9gcqqas1 Esjellxacffdovimtbcqy Od3p Genme54sp4y6xtdln Usqp Cau
encrypted-tbn0.gstatic.com

Https Www Jocn Journal Com Article S0967 5868 18 31831 9 Pdf

Degeneration Of The Cord Related To B12 Deficiency Eurorad
www.eurorad.org

Subacute Combined Degeneration Of The Cord Radiology Reference Article Radiopaedia Org
radiopaedia.org

Https Encrypted Tbn0 Gstatic Com Images Q Tbn 3aand9gcqz7qivn6vktpopiwfrujsobutycd5cb7axxoramyxdta7id6hm Usqp Cau
encrypted-tbn0.gstatic.com

Https Encrypted Tbn0 Gstatic Com Images Q Tbn 3aand9gcqj4qrihhmfquiurf1sdvchojxkcmwyxfqe4xqsxqcilenrteqm Usqp Cau
encrypted-tbn0.gstatic.com

Vitamin Syndromes
neuromuscular.wustl.edu

Subacute Combined Degeneration Of The Spinal Cord Due To Different Etiologies And Improvement Of Mri Findings
www.hindawi.com

Spinal Mr Imaging In Vitamin B12 Deficiency Case Series Differential Diagnosis Of Symmetrical Posterior Spinal Cord Lesions Sen A Chandrasekhar K Ann Indian Acad Neurol
www.annalsofian.org

Vitamin B12 Deficiency And Multiple Sclerosis
www.verywellhealth.com

Subacute Combined Degeneration Of The Cord
www.globalradiologycme.com

Subacute Combined Degeneration Of The Cord Radiology At St Vincent S University Hospital
www.svuhradiology.ie

2
lh3.googleusercontent.com

Subacute Combined Degeneration Of The Cord Radiology Reference Article Radiopaedia Org
radiopaedia.org

Patient With Acute Sensory Ataxia Related To Vitamin B12 Deficiency Download Scientific Diagram
www.researchgate.net

Pdf Thoracic Spinal Cord Atrophy Secondary To Vitamin B12 Deficiency
www.researchgate.net

Subacute Combined Degeneration Of Cord Vitamin B12 Deficiency Radiology Case Radiopaedia Org
radiopaedia.org

Cureus Nitrous Oxide Induced Vitamin B12 Deficiency Resulting In Myelopathy
www.cureus.com

Magnetic Resonance Findings In Subacute Combined Degeneration
www.scielo.br

Spinal Mr Imaging In Vitamin B12 Deficiency Case Series Differential Diagnosis Of Symmetrical Posterior Spinal Cord Lesions Topic Of Research Paper In Clinical Medicine Download Scholarly Article Pdf And Read For
cyberleninka.org

Subacute Combined Degeneration Of The Cord Radiology Reference Article Radiopaedia Org
radiopaedia.org

Copper Deficiency Myeloneuropathy Resembling B12 Deficiency Partial Resolution Of Mr Imaging Findings With Copper Supplementation American Journal Of Neuroradiology
www.ajnr.org

Mri Evaluation Of Spine Myelopathy
www.slideshare.net

Sub Acute Combined Degeneration Mri Radiology Imaging
radiology-information.blogspot.com

Location Length And Enhancement Systematic Approach To Differentiating Intramedullary Spinal Cord Lesions Springerlink
link.springer.com

Pdf Mri Appearances In Subacute Combined Degeneration Of The Spinal Cord Due To Vitamin B12 Deficiency
www.researchgate.net

Functional Vitamin B12 Deficiency Practical Neurology
pn.bmj.com

Subacute Combined Degeneration Of The Cord Radiology Reference Article Radiopaedia Org
radiopaedia.org

Spinal Mr Imaging In Vitamin B12 Deficiency Case Series Differential Diagnosis Of Symmetrical Posterior Spinal Cord Lesions Sen A Chandrasekhar K Ann Indian Acad Neurol
www.annalsofian.org

Subacute Combined Degeneration Of The Spinal Cord Masking Motor Neuron Disease A Case Report Journal Of Medical Case Reports Full Text
jmedicalcasereports.biomedcentral.com

Rapid Healing Of A Patient With Dramatic Subacute Combined Degeneration Of Spinal Cord A Case Report Bmc Research Notes Full Text
bmcresnotes.biomedcentral.com

Why It S Not A Good Idea To Keep Vitamin B12 A Secret Case Report Of Psychosis In Bangalore
www.christiankoeder.com

Spinal Mr Imaging In Vitamin B12 Deficiency Case Series Differential Diagnosis Of Symmetrical Posterior Spinal Cord Lesions Sen A Chandrasekhar K Ann Indian Acad Neurol
www.annalsofian.org

Subacute Combined Degeneration Of The Spinal Cord In Vitamin B12 And Copper Deficiency Bmj Case Reports
casereports.bmj.com

Pdf Prevalence Of Mr Imaging Abnormalities In Vitamin B12 Deficiency Patients Presenting With Clinical Features Of Subacute Combined Degeneration Of The Spinal Cord
www.researchgate.net

Clinics In Diagnostic Imaging 190 Smj
www.smj.org.sg

Myelopathy Secondary To Copper Deficiency The Great Imitator Neurologia English Edition
www.elsevier.es

Vitamin B12 Deficiency Induced Myelopathy Mri Findings Semantic Scholar
www.semanticscholar.org

Dr Balaji Anvekar Frcr Subacute Combined Degeneration Of Cord Mri
www.neuroradiologycases.com

Correlation Of Clinical And Mri Features Of Neuropsychiatric Manifesta Tions In Sub Acute Combined Degeneration Of Spinal Cord Neurological Syndrome Associated With Vitamin B12 Deficiency Semantic Scholar
www.semanticscholar.org

Https Ispub Com Ijra 10 1 11253

Https Encrypted Tbn0 Gstatic Com Images Q Tbn 3aand9gcrpfs Kk9e0j8bso4sgqvk3nopgfms92nnbwj 2luznnn1seqpd Usqp Cau
encrypted-tbn0.gstatic.com

Figure 1 From Clinically And Mri Documented Funicular Myelosis In A Patient With Metabolical Vitamin B12 Deficiency But Normal Vitamin B12 Serum Level Semantic Scholar
www.semanticscholar.org

The Radiology Assistant Myelopathy
radiologyassistant.nl

Http Apjcn Nhri Org Tw Server Apjcn 25 1 34 Pdf

View Image
www.neurologyindia.com

Leukoencephalopathy With Brainstem And Spinal Cord Involvement And Lactate Elevation A Rare White Matter Disease With Characteristic Magnetic Resonance Imaging Findings
neurologyindia.com

Acute Cerebellar Ataxia Differential Diagnosis And Clinical Approach
www.scielo.br

Can Vitamin B12 Deficiency Manifest With Acute Posterolateral Or Posterior Cord Syndrome Spinal Cord Series And Cases
www.nature.com

B12
casemed.case.edu

The Mri Of Spinal Cord Disclosed Abnormal Hyperintensities Within The Download Scientific Diagram
www.researchgate.net

The Radiology Assistant Myelopathy
radiologyassistant.nl

Subacute Combined Degeneration Of Cord Vitamin B12 Deficiency Radiology Case Radiopaedia Org
radiopaedia.org

Nutrients Free Full Text Cobalamin Deficiency Clinical Picture And Radiological Findings Html
www.mdpi.com

Vitamin B12 Deficiency And Multiple Sclerosis
www.verywellhealth.com

close